Prótesis de codo

Prótesis de codo

¿Qué es la prótesis de codo? Una prótesis de codo es un implante artificial diseñado para sustituir una parte o toda la articulación del codo. En general, podemos clasificarlas en función de la parte de la articulación que sustituye: Prótesis parcial, en la que se...

leer más
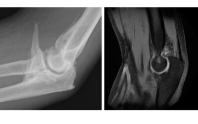
Fracturas  y fracturas luxaciones de codo. 

Fracturas  y fracturas luxaciones de codo. 

En personas sanas, los huesos y la articulación del codo pueden romperse a consecuencia de traumatismos desde la propia altura o con golpes de más alta energía, como caídas de altura, accidentes deportivos como caídas en bici o patines, o en accidentes en vehículos a...

leer más
Artroscopia de codo

Artroscopia de codo

Tecnología precisa y Mínimamente Invasiva Una técnica para el Diagnóstico certero y el Tratamiento eficaz de las principales enfermedades del codo La artroscopia de codo consiste en la introducción de una fina cámara e instrumentos de apenas 4 mm de diámetro en la...

leer más